• 키포렌식&고탐정사무소, KCBI 2025 브랜드대상 수상 기념 이벤트 진행
  • 항산화·항염·항암에 도움되는 슈퍼푸드 ‘컬리케일’, 올바르게 섭취하는 방법은?
  • 레디피부과, 쥬베룩 및 쥬베룩 볼륨 누적 시술 15,000바이알 달성
  • 주식회사 태린, 글로벌 도약 앞두고 가품 단속 본격화… 중국 중심의 위조 유통 차단 나서
  • 데이비드 파크골프, 현대 프리미엄 아울렛 스페이스원 팝업 행사 진행
  • 메이영, 와디즈 통해 신제품 선보인다…오는 4월 29일 사전 예약 시작
  • 메이영, 와디즈 통해 신제품 선보인다…오는 4월 29일 사전 예약 시작
  • ‘SNS 핫템’ 쿤달 ‘콜라겐 데미지 케어 헤어미스트’, 다이소 온라인몰서 완판
  • 상관모욕죄, 유죄와 무죄를 가르는 포인트는?
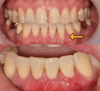
  • 잇몸이식수술, 핀홀 및 조직유도재생술 방법에 따른 차이는?