• K-푸드 선도 ‘2025 해외 우수 한식당 지정’ 신청 접수
  • K-푸드 선도 ‘2025 해외 우수 한식당 지정’ 신청 접수
  • K-푸드 선도 ‘2025 해외 우수 한식당 지정’ 신청 접수
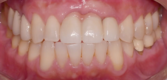
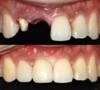
  • 앞니 임플란트 기간, 핑크포세린 i-GBR 통해 단축 도움
  • 앞니 임플란트 기간, 핑크포세린 i-GBR 통해 단축 도움
  • 바람누리, 시스템형부터 벽걸이형 등 전 제품 원스톱 시공 서비스 제공
  • 농정원, 스마트팜코리아 개편·신규 데이터 개방
  • aT, 미얀마 지진 피해에 쌀 3000톤 긴급 방출 승인
  • 국가공헌협회, 국가유공자 정서지원을 위한 ‘힐링사운드 합창단’ 운영
  • 드라마 같은 풍경, 영화 같은 하루...제22회 고창청보리밭축제 개막